
Mini implantes
Para estabilizar prótesis total

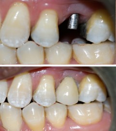
Implante Posterior Oclusal
Implantes de función inmediata de 1 pieza

Implante posterior
Implante de función inmediata

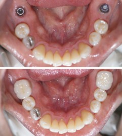
Implantes Anterior
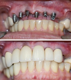
Implantes de función inmediata

implantes
Implantes de función inmediata

Implantes de Función inmediata
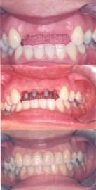
una sola pieza con sus coronas provisionales colocados en una cita

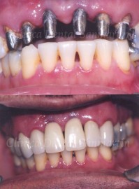
Implantes de Función Inmediata
Colocados en una cita y pernos en dientes con Endodoncia. Coronas provisionales